老翁下面「鼓一包」腹痛求醫 竟是罕見雙疝氣 精準腹腔鏡手術防堵保命

發佈: People Ι 2025-03-11 Ι 瀏覽: 834



記者陳明成/高雄報導     
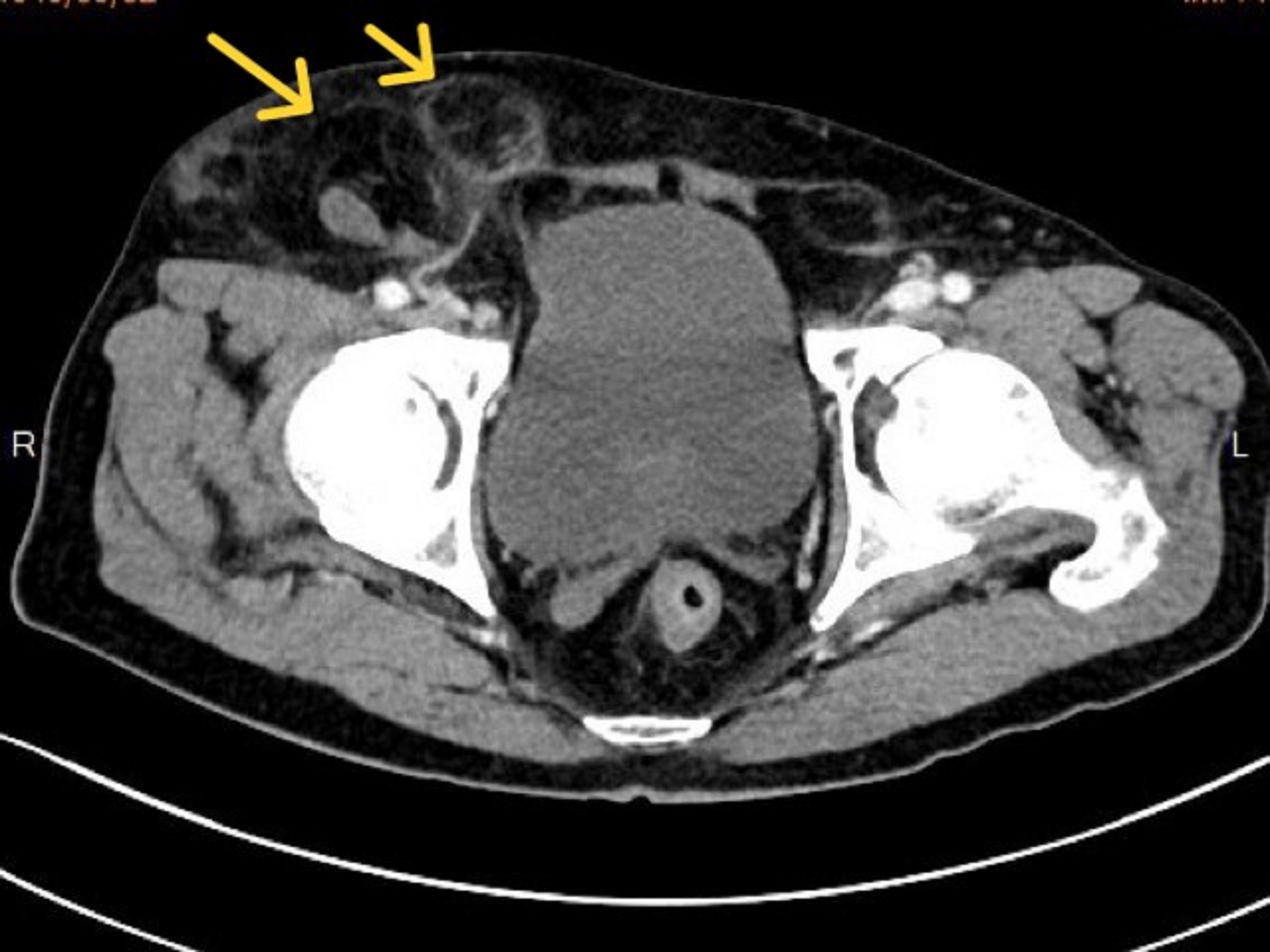
    年近八旬的陳伯伯,年輕時因腹股溝疝氣開過兩次傳統手術,近年來經常復發,右下腹靠鼠蹊部位時常「鼓一包」,日前突腹痛難耐就醫,醫師原想徒手幫他復位,但因疝氣造成的突起物實在過於巨大(20*15*10公分),難以一手掌握,影像檢查更發現是罕見的「雙疝氣」,部分小腸及大量網膜組織嵌頓,形成兩個大小不一的疝氣囊,需立即手術以避免腸道壞死。

    收治該名病患的高醫岡山醫院一般及消化系外科主治醫師蘇文隆表示,這名嚴重嵌頓性疝氣(incarcerated hernia)病人,患有糖尿病,血糖控制不佳,加上先前傳統疝氣手術造成嚴重沾黏,病情相當棘手。評估後,決定採取腹腔鏡微創手術的腹腔腹膜前疝氣修補術(TAPP)進行修補,降低相關風險。

    蘇文隆說,手術過程中,確認病人同時發生股疝氣(femoral hernia)及間接型腹股溝疝氣(inguinal hernia),除將嵌頓的小腸及網膜復位,並使用立體剪裁人工網膜修補疝氣孔,以腹腔鏡縫合腹膜,及切除一小段已壞死的嵌頓小腸,手術歷時七小時終於順利完成。陳伯伯康復出院後回診,疝氣囊已完全消失,右側腹股溝回復平整,總算擺脫「頂著一大包走路的困擾與不適

    蘇文隆指出,股疝氣約占所有疝氣的3%,其位置在腹部與大腿相接處,接近股動脈,患者可透過觸摸腹股溝處的脈搏跳動來初步辨識。與腹股溝疝氣不同的是,股疝氣好發於女性,成因包括長期便秘、慢性咳嗽、舉重物、生產後腹壓變化、肥胖及前列腺肥大導致排尿困難等;發生主因為組織鬆弛,易使腹腔內的網膜或小腸經由此一通道膨出。
   
蘇文隆提醒,因股疝氣的孔洞較小,更易發生早期小腸嵌頓或壞死的風險,一旦診斷出來,應盡早接受手術治療。民眾若有腹股溝腫脹及伴隨脈搏跳動的現象,建議盡速至一般外科門診就醫,及早診斷與治療。